Passer au contenu principal
Docanimo

Animaux de compagnie

Tout ce que vous devez savoir sur votre animal

  • Accueil
  • Conseils vétérinaires
  • Savoir dresser son chien
  • Chiens
  • Chats
  • Chevaux
  • Rongeurs
  • Oiseaux
  • Serpents
  • « Envoyez vos photos »
  • | Vos photos |

DoCanimo, le guide pour mieux prendre soin de vos animaux 🐾

Vous trouverez ici des conseils clairs sur la santé, l’assurance & la mutuelle, le comportement et le quotidien de vos animaux de compagnie : chien, chat, cheval, rongeurs, oiseaux, serpents… Pour commencer, vous pouvez lire les derniers articles ci-dessous ou cliquer sur l’un des raccourcis par espèce :

🐶 Chiens 🐱 Chats 🐴 Chevaux 🐹 Rongeurs 🐦 Oiseaux 🐍 Serpents

Lire nos derniers articles

Dogue du Tibet

Dogue du Tibet : Calme et protecteur

Scottish Terrier

Scottish terrier

terrier
Lévrier Greyhound

Lévrier Greyhound : Guide sur le sprinteur au cœur tendre

Lévrier
griffon-belge-bruxellois

Griffons Belges et Bruxellois

Shih Tzu poils longs

Le Shih Tzu : Tout savoir sur ce petit chien Lion au caractère d’or

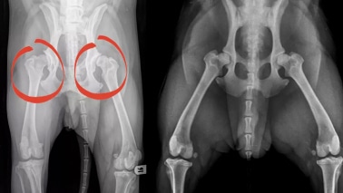
Dysplasie de la Hanche chez le Chien

Dysplasie de la Hanche chez le chien : Guide complet pour comprendre et agir

Gascon-Saintongeois

Gascon-Saintongeois : Noblesse et passion du chien d’Ordre

Chien de chasse ou d'arrêt
Bouvier des Flandres

Le Bouvier des Flandres : Le Gardien robuste au cœur tendre

Setter Anglais

Le Setter Anglais : L’Élégance et la passion du gentleman chasseur

Lhassa Apso

Le Lhassa Apso : Le petit Lion Sacré du Tibet

Barzoï chien russe

Le Barzoï : L’élégance et la puissance du lévrier russe

Lévrier
Border Collie noir et blanc

Border Collie : L’intelligence et l’énergie à l’état pur

Pagination des publications

Précédent 1 … 5 6 7 8 9 … 26 Suivant
Informations complémentaires
  • Qui sommes-nous ?
  • Contact
  • Mentions Légales
  • Partenaires